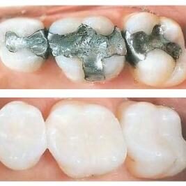
COMPOSITE FILLINGS

Composite fillings provide good durability and resistance to fracture. They can be bonded or adhesively held in the cavity, allowing us to make a more conservative repair to the tooth.

Bonding is tooth-colored material used to fill in gaps or change the color of teeth. Requiring a single office visit, bonding lasts several years.

When teeth are chipped or slightly decayed, bonded composite resins may be the material of choice. Bonding also is used as a tooth-colored filling for small cavities. Additionally, it can be used to close spaces between teeth or cover the entire outside surface of a tooth to change its color and shape.

composite-fillings-4
28

BUSINESS HOURS

Sunday
Closed
Monday
7:00 AM - 3:00 PM
Tuesday
7:00 AM - 3:00 PM
Wednesday
7:00 AM - 3:00 PM
Thursday
7:00 AM - 6:00 PM
Friday
7:00 AM - 12:00 PM
Saturday
Closed

COMPOSITE FILLINGS

Composite fillings provide good durability and resistance to fracture. They can be bonded or adhesively held in the cavity, allowing us to make a more conservative repair to the tooth.

Bonding is tooth-colored material used to fill in gaps or change the color of teeth. Requiring a single office visit, bonding lasts several years.

When teeth are chipped or slightly decayed, bonded composite resins may be the material of choice. Bonding also is used as a tooth-colored filling for small cavities. Additionally, it can be used to close spaces between teeth or cover the entire outside surface of a tooth to change its color and shape.

composite-fillings-4
28

BUSINESS HOURS

Monday
7:00 AM - 3:00 PM
Tuesday
7:00 AM - 3:00 PM
Wednesday
7:00 AM - 3:00 PM
Thursday
7:00 AM - 6:00 PM
Friday
7:00 AM - 12:00 PM
Saturday
Closed
Sunday
Closed